Songklanakarin Journal of Science and Technology (SJST)

Volume 46 No.1 (January - February 2024)

pp. 1 - 75

A numerical approach to the solution of nonlinear Volterra-Fredholm integro-differential equations

Ganiyu Ajileye, Ojo Olamiposi Aduroja, Ineye Grace Amakoromo and Sikiru Adesina Amoo

Hybrid quasi-ideals and hybrid A-ideals in ternary semigroups

M. Deepika, B. Elavarasan and J. Catherine Grace John

A review on nutritive, medicinal and commercial aspects of Asian Palmyra palm fruit

S. I. Jeyanth Allwin, S. Lititia, Serena Ann Cherian, Bose Deepak Shelton and S. Reginold Jebitta

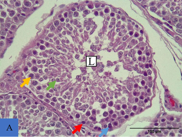
Effect of royal jelly as supplementation in feed on sperm progressive motility and histology of testis for rabbits

Fathin Athirah Mohd Sabri, Mohd Nor Imran Mohd Azman, Mohammad Mijanur Rahman and Raja Ili Airina Raja Khalif

Related Links