Songklanakarin Journal of Science and Technology (SJST)

Volume 45 No.3 (May - June 2023)

pp. 314 - 455

A new alternative mono-layer matrix for pelleting cucumber (Cucumis sativus) seeds

Jakkrapong Kangsopa, Nararat Thawong, Aranya Singsopa and Davika Rapeebunyanon

pp. 314 - 319 PDF PDF w/Links
Chemical compositions and fatty acid profiles of ball sea cucumber (Phyllophorella kohkutiensis)

Sarunya Yimyong, Janjarus Watanachote, Maliwan Kutako, Yutthaya Yuyen, Wannapa Kasiroek and Nisa Siranonthana

pp. 320 - 325 PDF PDF w/Links
Lethal dose 50 and the first-generation mutant of upland purple rice cultivar Med Fai 62

Nucharee Chadakan, Vichai Wongvarodom and Watcharin Soonsuwon

pp. 326 - 330 PDF PDF w/Links
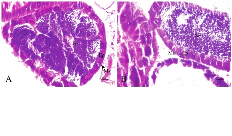
Histological organization of tephritid fruit flies (Diptera, Tephriridae) from Thailand

Pisit Poolprasert, Sinlapachai Senarat, Lamai Thongboon, Narit Thaochan, Ezra Mongkolchaichana, Woranop Sukparangsi and Natthawat Charoenphon

pp. 348 - 355 PDF PDF w/Links
A study on design and analysis of a school bus project for a municipality in southern Thailand

Nikorn Sirivongpaisal, Walakkamol Kongyoung, Sakesun Suthummanon, Pallapat Penjamras and Sirirat Suwatcharachaitiwong

pp. 356 - 362 PDF PDF w/Links
A computational approach for identifying assamese folk music instruments

Krishnarjun Bora, Manash PratimBarman and Arnab N.Patowary

pp. 399 - 406 PDF PDF w/Links
A spatiotemporal analysis of crimes reported in the North Shewa Zone of Amhara region, Ethiopia

Abere Wondimu Kassie, A. R. Muralidharan, Ayele Admasu and Damenech Syum

pp. 415 - 421 PDF PDF w/Links
Cross-cultural adaptation, reliability, and validity of the Northern Thai version of the Tampa scale of kinesiophobia-17 in community-dwelling individuals with knee osteoarthritis

Petcharat Keawduangdee, Pattanasin Areeudomwong, Vitsarut Buttagat, Sujittra Kluayhomthong, Ampha Pumpho, Supapon Kaewsanmung and Watjanarat Panwong

pp. 435 - 441 PDF PDF w/Links
Investigation on microstructure and mechanical properties of 17-4PH stainless steels fabricated by materials extrusion additive manufacturing

Pasut Promsuwan, Ruangdaj Tongsri, Pruet Kowitwarangkul, Patiparn Ninpetch and Thotsaphon Threrujirapapong

pp. 442 - 450 PDF PDF w/Links

Related Links