Songklanakarin Journal of Science and Technology (SJST)

Volume 47 No.2 (March - April 2025)

pp. 79 - 159

Characterizing the ovarian follicular dynamics and ovarian hormonal profile of Lakhimi cow during the estrus cycle

Anupam Datta, Anubha Baruah, Arundhati Bora, D. J. Dutta, J. Goswami, D. Bhuyan and Sukanta Das

pp. 94 - 101 PDF PDF w/Links
In silico assessment of self-assembly and bioactivity profiles of peptides from lentil protein

Matthew D. Ezema, Toluwase H. Fatoki, Seyi Ogunrinola and Chibuike C. Udenigwe

pp. 102 - 112 PDF PDF w/Links
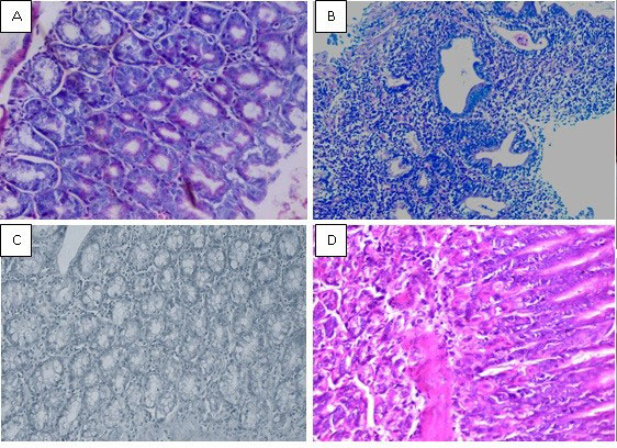
Potential effect of bone marrow cells for treatment of experimentally induced acute ulcerative colitis in a rat model

Shimaa Atta, Heba Khalil, Ahmad Mansour Youssef Kandil, Attia Atta, Mohamed El Mohandes, Faten Salah, Hanan El-Baz, Manal Kamel, Zeinab Demerdash and Sara Maher

pp. 113 - 119 PDF PDF w/Links
Preliminary genetic assessment of geographically distant populations of the giant freshwater stingray, Urogymnus polylepis (syn. Himantura chaophraya), calls for taxonomic re-examination

Jenjit Khudamrongsawat, Pattarapon Promnun, Thanida Haetrakul, Nitiwadee Keschumrus, Chayanis Daochai, Kazi Ahsan Habib, Tassapon Krajangdara and Nantarika Chansue

pp. 120 - 125 PDF PDF w/Links
Effects of physical determinants in an unsteady blood flow in a stenosed artery

Bakari Athumani Makoja, Reema Jain, Ahmada Omar Ali and Verdiana Grace Masanja

pp. 126 - 133 PDF PDF w/Links
Physicochemical characteristics, total phenolic content, antioxidant activity, and sensory acceptability of panned keto dark chocolate with monk fruit and stevia as sugar substitutes

Izzreen Ishak, Nurul Nadhirah Ab Ghani, Nawirah Alia Badrul Hisham, Fatin Nadhirah Harris Fadzilah, Johari Khaironi, Fisal Ahmad, Nafisah Musa and Wan Saidatul Syida Wan Kamarudin

pp. 134 - 140 PDF PDF w/Links

Related Links